Trabzon’un Ortahisar ilçesine bağlı Kendirli Mahallesi’nde yaşanan olay, bireysel silahlanmanın tehlikelerini bir kez daha gözler önüne serdi. 61 yaşındaki Fadime Hellaç, evinin bahçesinde temizlik ve sulama yaptığı sırada aniden göğsünde bir yanma hissederek yere yığıldı. Ne olduğunu anlayamayan kadın, acı içinde eşi Olcay Hellaç’tan yardım istedi.
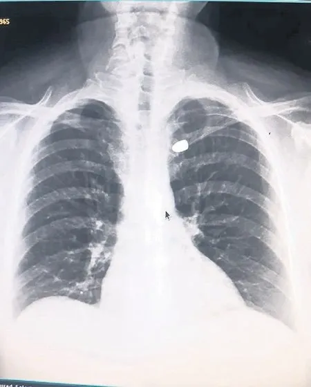
Olcay Hellaç, ilk müdahaleyi yaptığı eşini sırtında eve taşıdı. Durumu hemen sağlık ekiplerine bildiren Hellaç ailesi, kısa sürede olay yerine gelen ambulansla Karadeniz Teknik Üniversitesi Farabi Hastanesi’ne ulaştı. Yapılan tetkiklerde Hellaç’ın göğsüne bir yorgun merminin isabet ettiği belirlendi.

Mermi Kemikten Durdu: “2 Santimetre Aşağıda Ölüm Olabilirdi”
Göğüs Cerrahisi Uzmanı Prof. Dr. Celal Tekinbaş, hastanın sağlık durumuyla ilgili şu açıklamayı yaptı:
❝Hastamızın köprücük kemiği kırılmış durumda. Mermi kemiği delerek durdu ve şu an göğüs boşluğunda. Şeker hastası olması nedeniyle ameliyatı erteledik. 3 aylık kan şekeri seviyesi normale indiğinde cerrahi müdahaleyle mermiyi çıkaracağız. Ancak belirtmek gerekir ki, mermi yalnızca 2 santimetre aşağıya isabet etseydi, büyük damarlara zarar verebilir ve hayati tehlike doğurabilirdi.❞
❝Ben Yandım, Başkası Yanmasın❞
Hayati tehlikeyi kıl payı atlatan Fadime Hellaç, olayın ardından yaptığı açıklamada yaşadığı korkuyu şu sözlerle dile getirdi:
❝Bilinçsizce havaya atılan kurşunların kurbanı oldum. Bunlar hayatları karartıyor. Ben yandım, başka kimse yanmasın. Artık kimse silah atmasın, kimseler vurulmasın. Ölebilirdim.❞
Eşi Olcay Hellaç ise bölgede benzer olayların sık yaşandığını belirtti:
❝Bu sene mahallemizde üç kez yorgun mermi olayı yaşandı. Eğlencelerde, düğünlerde, şenliklerde havaya ateş edilmesi çok canları yakıyor.❞
Bireysel Silahlanmaya Karşı Çağrı
Mahalle sakinleri ise yaşanan olayın ardından yetkililere çağrıda bulundu. Bölgedeki düğün, nişan ve diğer eğlencelerde havaya ateş açılmasının önlenmesi için daha sıkı denetim yapılması istendi.
Hellaç ailesinin yaşadığı bu olay, bireysel silahlanma ve kontrolsüz silah kullanımının sadece silahı tutan değil, hiç tanımadığı insanları da nasıl mağdur edebileceğini bir kez daha hatırlattı.





